Français English

Ophioparma ventosa (L.) Norman forma ventosa

Ophioparma ventosa (L.) Norman forma ventosa

Synonyms:

Haematomma ventosum (L.) A. Massal.



Family: OPHIOPARMACEAE

Habitat: Montane

Description

      Thallus crustose, well delimited, rather thick, surrounded with large areoles more or less rounded with a warty surface, yellowish white, pale yellowish for the form with usnic acid: forma ventosa and whitish for the form without usnic acid forma subfestiva. Apothecia usually quite abundant, lecanorins, 1-4 mm in diameter, initially flat disc sometimes bulging in old age, not pruinose, bright red, scarlet red, blood red, rim sharp, sinuous, may be reduced in old age, concolorous to the thallus. Spores colorless, with one rounded end and another pointed, 3-7 septate, 40-50 x 4-5 µm. Presence of pycnidia with black ostioles, pycnospores 5-10 x 1 µm. Photobiont: Trébouxia. Cortex and medulla: K + yellow, KC +/- yellow, P + orange but there are K- and P- chemoforms. Mountain species coming on non-calcareous rocks very exposed, in particular to the wind.

The yellowish ventosa form contains usnic acid, the subfestiva form which does not contain usnic acid is whitish. The two forms can coexist side by side.

NB Ophioparma lapponica is K-, P-, but some very pale and infertile or sterile forms of Ophioparma ventosa have sometimes weak or no reactions in the field in cold weather and there are K- and P- chemoforms, Ophioparma lapponica and Ophioparma ventosa can therefore only be separated with certainty by the size of the spores: Ophioparma lapponica has smaller spores of 12-21 x 3-5 µm and is also more alpine. Watch out for Haematomma ochroleucum var ochroleucum with a thinner, powdery and non-warty thallus with smaller apothecia.





Ophioparma ventosa (L.) Norman forma ventosa

Ophioparma ventosa forma ventosa Pyrénées Néouvielle 1
Bernard BOUFFINIER

Ophioparma ventosa (L.) Norman forma ventosa

Ophioparma ventosa forma ventosa Pyrénées Néouvielle 2
Bernard BOUFFINIER

Ophioparma ventosa (L.) Norman forma ventosa

Ophioparma ventosa forma ventosa Pyrénées Néouvielle 3
Bernard BOUFFINIER

Ophioparma ventosa (L.) Norman forma ventosa

Ophioparma ventosa forma ventosa Pyrénées Néouvielle 4
Bernard BOUFFINIER

Ophioparma ventosa (L.) Norman forma ventosa

Ophioparma ventosa forma ventosa Pyrénées Néouvielle 5
Bernard BOUFFINIER

Ophioparma ventosa (L.) Norman forma ventosa

Ophioparma ventosa forma ventosa Pyrénées Néouvielle 6
Bernard BOUFFINIER

Ophioparma ventosa (L.) Norman forma ventosa

Ophioparma ventosa forma ventosa Pyrénées Néouvielle 7
Bernard BOUFFINIER

Ophioparma ventosa (L.) Norman forma ventosa

Ophioparma ventosa forma ventosa Val d'Aoste 1
Jacques HAINE

Ophioparma ventosa (L.) Norman forma ventosa

Ophioparma ventosa forma ventosa Val d'Aoste 2
Jacques HAINE

Ophioparma ventosa (L.) Norman forma ventosa

Ophioparma ventosa forma ventosa Coupe apothécie KOH Val d'Aoste 3
Jacques HAINE

Ophioparma ventosa (L.) Norman forma ventosa

Ophioparma ventosa forma ventosa Coupe apothécie écrasée KOH Val d'Aoste 4
Jacques HAINE

Ophioparma ventosa (L.) Norman forma ventosa

Ophioparma ventosa forma ventosa Asque KOH Val d'Aoste 5
Jacques HAINE

Ophioparma ventosa (L.) Norman forma ventosa

Ophioparma ventosa forma ventosa Asque Bleu Coton Val d'Aoste 6
Jacques HAINE

Ophioparma ventosa (L.) Norman forma ventosa

Ophioparma ventosa forma ventosa Asque Lugol Val d'Aoste 7
Jacques HAINE

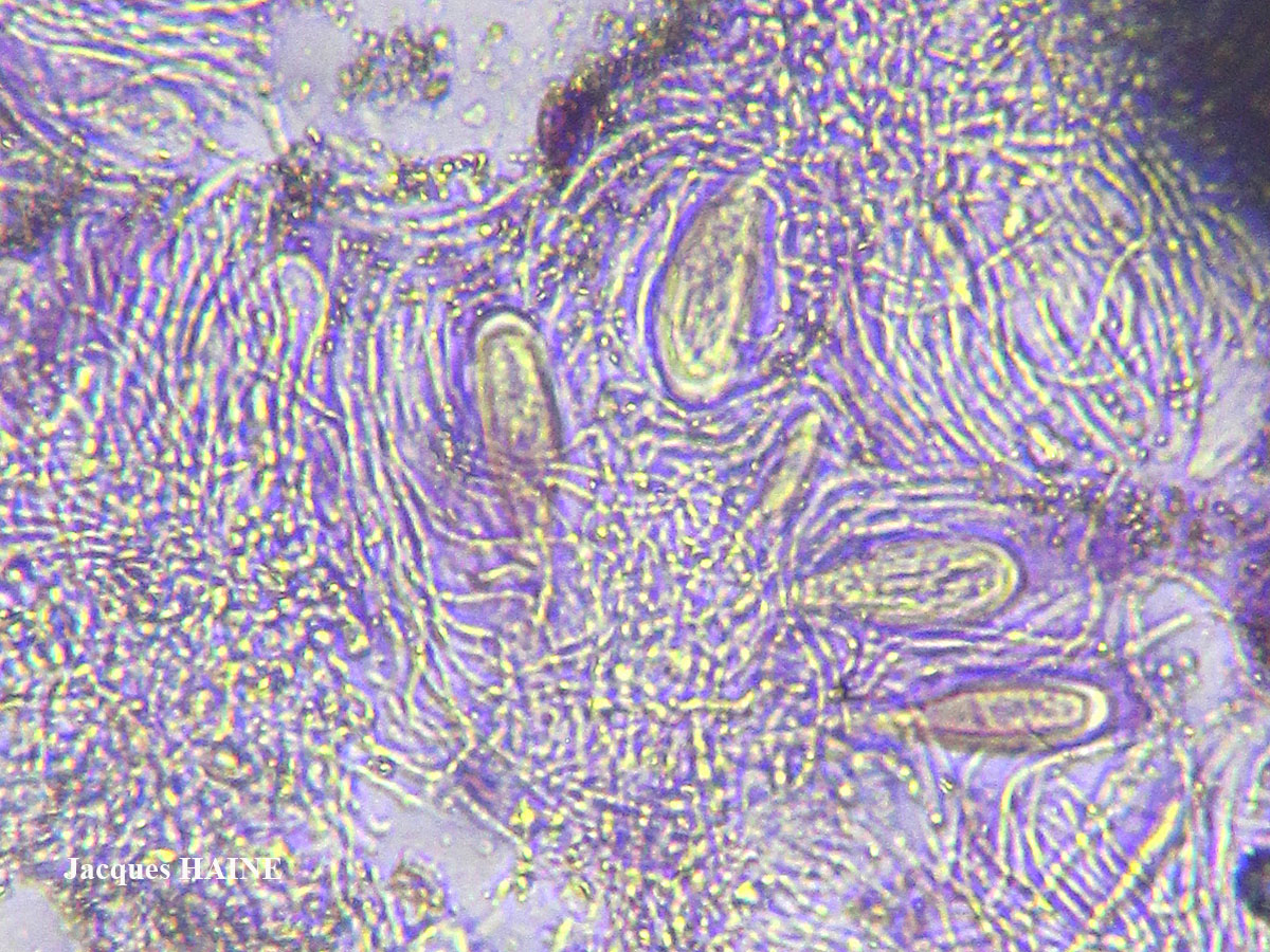
Ophioparma ventosa (L.) Norman forma ventosa

Ophioparma ventosa forma ventosa Spores Lugol Val d'Aoste 8
Jacques HAINE



Return
Content : Alain Gérault - Website development : Sylvain Ard - Hosting : Online.net